- 
			 Présentation du modèle de la voiture intelligente "Smart Drive Test" pour les examens d'obtention de permis de conduire
- 
			 Marrakech, capitale mondiale de Médecine physique et de réadaptation
- 
			 Entre mémoire et culture, le Maroc à l'honneur à Bruxelles
- 
			 Aéroport international Mohammed V : Interpellation d’un Français d’origine algérienne, objet d'un mandat d'arrêt international
 
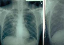
			 Dans une déclaration à Libé en marge de cette rencontre, le pneumologue et président de la LMCT, Abderraquib Merbouha, a indiqué que 25.562 cas de tuberculose ont été enregistrés au Maroc en 2007, précisant que la cadence du recul de cette maladie est faible au niveau national, sachant que 82 personnes sur 100.000 en sont atteintes.
Rappelant que le bacille de Koch affecte 500 mille personnes par an dans le monde, M. Merbouha a mis l'accent sur les capacités de propagation de la tuberculose en l'absence de traitement des cas déclarés.
Il a appelé la société civile à jouer pleinement son rôle de sensibilisation au dépistage de la tuberculose et souligné l'importance de la formation continue du personnel médical et paramédical dans la lutte contre cette maladie.
Il a également salué les efforts déployés par le ministère de la Santé qui prend en charge le traitement et l'hospitalisation des tuberculeux, estimant cependant qu'il reste beaucoup à faire en matière de lutte contre cette maladie.
Cette rencontre a été ponctuée par la projection d’un film traitant de la tuberculose suivi d’un exposé scientifique en arabe dialectal sur les causes, les symptômes de la tuberculose et les moyens de sa prévention et de son traitement. C’est ainsi que 125 participants ont bénéficié de cette journée de sensibilisation supervisée par M.Merbouha et Karim Kaali, major du CDTMR.
La stratégie marocaine 2006-2015 de lutte antituberculeuse vise à accélérer la cadence du recul de cette maladie, maintenir le niveau de diagnostic, porter le taux de succès de traitement à plus de 90 % et à réduire de 50% le taux de propagation et de mortalité à l'horizon 2015, conformément aux objectifs du Millénaire pour le développement.

 Augmenter la taille du texte
 Augmenter la taille du texte Diminuer la taille du texte
 Diminuer la taille du texte Partager
 Partager







 
					  
					  
					  
					  
 
 
					  
