-
Province de Ouarzazate : Cinq morts dans un accident de la route
-
Le Daily Mail britannique met en lumière Rabat : Une capitale au charme singulier
-
Epson et le FIAV forment de jeunes créateurs marocains aux technologies de projection etde vidéomapping
-
Lancement de la saison de chasse 2025-2026 au niveau de la région Marrakech-Safi

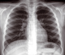
Cette réalité vient d’être rappelée à l’occasion de la Journée mondiale contre la tuberculose célébrée hier sous le thème « Chacun de nous a un rôle à jouer dans la lutte antituberculeuse». Selon un communiqué du ministère de la Santé rendu public à cette occasion, c’est dans les zones les plus urbanisées et en l’occurrence les plus peuplées, particulièrement dans les grandes villes que 70% des nouveaux cas de tuberculose ont été dépistés. L’analyse par sexe montre par ailleurs que cette maladie touche plus les hommes (57% des cas), que les femmes (43%). Aucune indication n’a été donnée en ce qui concerne le milieu social, mais il va sans dire que la tuberculose évolue dans les milieux les plus pauvres et de surcroît les moins sains.
Considérés comme un problème de santé publique, les malades tuberculeux sont pris en charge gratuitement dans les centres spécialisés de diagnostic de la tuberculose du ministère de la Santé. Les médicaments antituberculeux y sont, de ce fait, distribués à titre gracieux sous contrôle médical dans les 2600 centres de santé urbains et ruraux. Ces derniers y sont suivis tout le long de la durée du traitement qui peut varier de 6 à 18 mois, selon la nature de la maladie et sa localisation.
Un traitement bien suivi donne des résultats probants et permet une guérison complète. En revanche, c’est l’interruption volontaire du traitement qui semble poser un sérieux problème dans la lutte contre la tuberculose. Selon le ministère de la Santé, Ces malades qui interrompent leur traitement s’exposent au risque de la multi-résistance du bacille de la tuberculose aux traitements disponibles et leur prise en charge se trouve plus compliquée et plus longue.
Afin de lutter contre cette maladie, ce département a mis en place une stratégie s’étendant entre 2008 et 2012. Elle vise à terme la réduction de son taux d’incidence, à 65 nouveaux cas pour 100.000 habitants contre 85 nouveaux cas pour 100.000 en 2008.
Pour ce faire, il propose d’agir à travers différents axes dont le renforcement du dispositif de prise en charge des malades tuberculeux, notamment par la création de deux pôles d’excellence à Rabat et à Casablanca pour la prise en charge des malades multi-résistants, la lutte contre la tuberculose multi-résistante, la co-infection tuberculose/VIH et l’amélioration de la prise en charge de la tuberculose dans les institutions carcérales, la délocalisation des activités du programme national de lutte antituberculeuse vers les régions en vue de plus d’adaptabilité et d’efficience des actions et surtout le maintien de la vaccination au BCG dans le cadre du Programme national d’immunisation.
Dans le monde, la situation est loin d’être reluisante. Selon l’Organisation mondiale de la santé, près du tiers de la population mondiale est infecté par le bacille de la tuberculose, soit 2 milliards d'individus dont plus de 8 millions de nouveaux cas enregistrés chaque année. La maladie est même devenue l’une des principales causes de décès chez les personnes vivant avec le virus du SIDA, avec près de 200.000 décès annuellement.