Autres articles
-
Dans les villages du Bangladesh, le retour de la grande peur des serpents
-
Santé cardiovasculaire : Les bienfaits des produits végétaux dépendent de leur niveau de transformation
-
Lien entre les investissements dans les soins de santé pédiatriques et la prospérité
-
Plébiscité par les grandes maisons de luxe, le cuir "Made in Nigeria" se trace un avenir local
-
Une "planète vagabonde" engloutit gaz et poussières à un rythme effréné

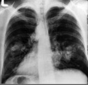
Un dépistage plus systématique du cancer du poumon à l'aide d'un scanner à faibles radiations pourrait détecter des dizaines de milliers de cancers du poumon supplémentaires dans les cinq prochaines années aux Etats-Unis, mais à un coût élevé, selon des chercheurs.
Cette projection dévoilée récemment est basée sur les dernières recommandations d'un groupe d'experts indépendants, l'US Preventive Services Task Force (USPSTF).
Ils préconisent un scanner annuel, au lieu d'une radiographie pulmonaire, pour les personnes de 55 à 80 ans ayant fumé au moins 15 paquets de cigarettes par an durant leur vie, fument encore ou se sont arrêtées dans les 15 dernières années.
Un tel programme qui engloberait le scanner, le diagnostic et les soins coûterait 9,3 milliards de dollars sur cinq ans, ont calculé les auteurs de cette étude au Centre Fred Hutchinson de recherche sur le cancer à Seattle (Etat de Washington, nord-ouest).
Une application progressive de ces recommandations permettrait de détecter près de 55.000 cancers du poumon supplémentaires, dont la plupart à un stade précoce donc plus traitables, avec une plus grande chance de survie.
Si le coût supplémentaire de cette prévention était partagé entre tous les bénéficiaires du Medicare, le programme fédéral d'assurance maladie des retraités, cela reviendrait à payer trois dollars de plus par mois pour les assurés, ont-ils calculé.
"Si on peut diagnostiquer un cancer du poumon à ses débuts, les malades peuvent être traités plus efficacement et ont de meilleures chances de survie", fait valoir Joshua Roth, le principal auteur de ces travaux qui feront l'objet d'une présentation le 2 juin à la conférence annuelle de l'American Society of Clinical Oncology réunie à Chicago (Illinois, nord).
"Mais la condition du succès d'un tel programme de dépistage c'est que ceux qui courent le plus grand risque de développer un cancer pulmonaire y soient soumis et bénéficient ensuite des bons traitements", insiste-t-il.
Selon l'USPSTF, il est possible de faire reculer la mortalité de 20% chez les patients à hauts risques grâce à un tel dépistage.