-
L'Université Hassan II de Casablanca lance la deuxième édition de la caravane universitaire annuelle de don du sang
-
Béni Mellal : La maison de retraite Ouled M'barek, un modèle d’accompagnement humain pour les personnes âgées
-
Dr Fahd Ghalim : L’endoscopie digestive associe précision, efficacité et prévention
-
Province de Ouarzazate : Cinq morts dans un accident de la route

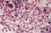
Lors d'une matinée organisée au sein du Centre hospitalier universitaire Mohammed VI de Marrakech en célébration de la Journée mondiale de sensibilisation à la leucémie, Mme Gouimi a mis en relief l'importance de la coordination des actions de la société civile et du ministère de tutelle pour le recensement des cas atteints de leucémie au niveau national.
Dans ce cadre, elle a fait savoir que plus de 300 cas de leucémie ont été recensés par l'Association AMAL, ajoutant que cette dernière envisage d'ouvrir des antennes dans plusieurs villes du Royaume pour un meilleur échange de données concernant cette maladie au niveau national.
Par ailleurs, Mme Gouimi a indiqué que l'accès aux médicaments demeure le plus grand problème pour cette catégorie de patients, faisant savoir que le coût des médicaments prescrits pour ceux atteints de leucémie chronique à titre d'exemple, peut s'élever mensuellement à quelque 3.500 DH pour les médicaments génériques (soit 27.000 DH pour un médicament princeps ou de marque) en plus des cures chimio-thérapeutiques dont le coût peut atteindre jusqu'à 50.000 DH par mois.
Mme Gouimi a plaidé pour une prise en charge complète des coûts de cette maladie de la part des organismes d'assurance maladie, du RAMED et des assurances de maladie complémentaires.
Elle a, en outre, indiqué que l'Association AMAL a pris l'initiative de célébrer cette année, la Journée mondiale de sensibilisation à la leucémie sous le thème "La Place Jemaâ El Fna au cœur du CHU Mohammed VI", pour rapprocher les spectacles des malades qui ne peuvent se déplacer à la mythique place, où l'association avait pris l'habitude de célébrer cette journée.
Au programme de cette journée, figurent des ateliers de peinture et de calligraphie au profit des malades et des spectacles folkloriques et d'animations artistiques au sein du CHU Mohammed VI.
Créée en 2011, l'Association AMAL est membre de plusieurs organisations mondiales dont le CML Advocates network et la Confédération internationale des parents et tuteurs des malades atteints de cancer. L’association a obtenu plusieurs distinctions internationales dont The first CML patient Group in North Africa (Indonésie).
Elle a pour vocation d'apporter le soutien psychologique aux malades atteints de leucémie, de participer à la sensibilisation aux moyens de prévention contre le cancer, de créer un cadre de rencontre pour les malades, les familles et les médecins traitants et d'offrir des structures d'accueil aux patients et aux parents habitant loin des CHU.